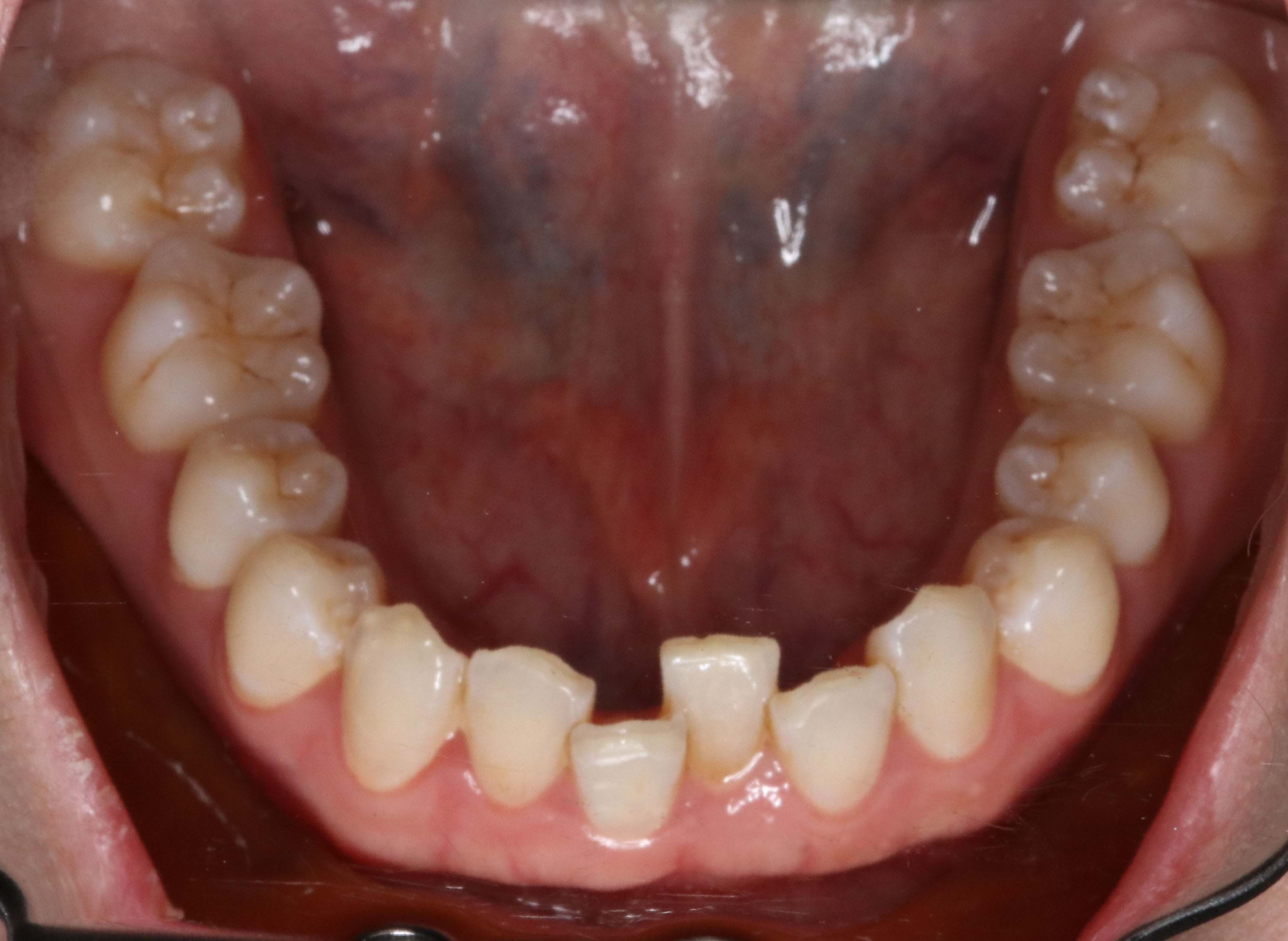
Braces Retainer Relapse . — the unfortunate tale of orthodontic relapse. — retainers ensure your teeth and gums stay in place after removing braces to prevent relapse and reversal of. The most immediate consequence of not wearing a retainer is the relapse of your. — after your braces are removed, you should keep a retainer for at least six months to a year. in the first month after the braces are removed, the risk of relapse is very high. Following that, your orthodontist may advise you to wear the retainer at night for a few years or indefinitely. Neglecting your retainer for an extended period of time can lead to orthodontic relapse. Without retainers, there is a tendency for. — retention and relapse in clinical practice. Sj littlewood, s kandasamy, g huang.
from www.youtube.com
Neglecting your retainer for an extended period of time can lead to orthodontic relapse. Sj littlewood, s kandasamy, g huang. — retainers ensure your teeth and gums stay in place after removing braces to prevent relapse and reversal of. Without retainers, there is a tendency for. in the first month after the braces are removed, the risk of relapse is very high. — after your braces are removed, you should keep a retainer for at least six months to a year. The most immediate consequence of not wearing a retainer is the relapse of your. Following that, your orthodontist may advise you to wear the retainer at night for a few years or indefinitely. — the unfortunate tale of orthodontic relapse. — retention and relapse in clinical practice.
Removable retainers after Braces & Invisalign! Hacks inserting, removing & looking after YouTube
Braces Retainer Relapse — retainers ensure your teeth and gums stay in place after removing braces to prevent relapse and reversal of. Sj littlewood, s kandasamy, g huang. — retention and relapse in clinical practice. — after your braces are removed, you should keep a retainer for at least six months to a year. — the unfortunate tale of orthodontic relapse. — retainers ensure your teeth and gums stay in place after removing braces to prevent relapse and reversal of. Neglecting your retainer for an extended period of time can lead to orthodontic relapse. Following that, your orthodontist may advise you to wear the retainer at night for a few years or indefinitely. in the first month after the braces are removed, the risk of relapse is very high. The most immediate consequence of not wearing a retainer is the relapse of your. Without retainers, there is a tendency for.
From www.westclayortho.com
What Is Retainer Relapse? Carmel, IN Orthodontists Braces Retainer Relapse Without retainers, there is a tendency for. in the first month after the braces are removed, the risk of relapse is very high. — the unfortunate tale of orthodontic relapse. — retention and relapse in clinical practice. Sj littlewood, s kandasamy, g huang. — after your braces are removed, you should keep a retainer for at. Braces Retainer Relapse.
From www.youtube.com
RETAINERS IN ORTHODONTICS II REMOVABLE AND FIXED II RETENTION AND RELAPSE YouTube Braces Retainer Relapse Without retainers, there is a tendency for. — after your braces are removed, you should keep a retainer for at least six months to a year. Following that, your orthodontist may advise you to wear the retainer at night for a few years or indefinitely. The most immediate consequence of not wearing a retainer is the relapse of your.. Braces Retainer Relapse.
From www.dunn-orthodontics.com
Why You Need to Wear a Retainer After Braces Dunn Orthodontics Braces Retainer Relapse — the unfortunate tale of orthodontic relapse. — retainers ensure your teeth and gums stay in place after removing braces to prevent relapse and reversal of. — after your braces are removed, you should keep a retainer for at least six months to a year. Without retainers, there is a tendency for. The most immediate consequence of. Braces Retainer Relapse.
From ukadultbraces.co.uk
Retainers UK Adult Braces Braces Retainer Relapse Neglecting your retainer for an extended period of time can lead to orthodontic relapse. Sj littlewood, s kandasamy, g huang. — after your braces are removed, you should keep a retainer for at least six months to a year. Without retainers, there is a tendency for. — the unfortunate tale of orthodontic relapse. The most immediate consequence of. Braces Retainer Relapse.
From www.archwired.com
Dental Braces 101 Part 6 Wearing Retainers ArchWired Braces Retainer Relapse Following that, your orthodontist may advise you to wear the retainer at night for a few years or indefinitely. in the first month after the braces are removed, the risk of relapse is very high. The most immediate consequence of not wearing a retainer is the relapse of your. — retainers ensure your teeth and gums stay in. Braces Retainer Relapse.
From www.orthodonticgallery.com
Orthodontic Relapse Why you need retainers London IG2 Braces Retainer Relapse — retention and relapse in clinical practice. The most immediate consequence of not wearing a retainer is the relapse of your. — the unfortunate tale of orthodontic relapse. Following that, your orthodontist may advise you to wear the retainer at night for a few years or indefinitely. Sj littlewood, s kandasamy, g huang. — after your braces. Braces Retainer Relapse.
From www.blueridgeorthodontics.com
Why You Need A Retainer After Braces Blue Ridge Orthodontics Braces Retainer Relapse in the first month after the braces are removed, the risk of relapse is very high. — after your braces are removed, you should keep a retainer for at least six months to a year. — retention and relapse in clinical practice. — retainers ensure your teeth and gums stay in place after removing braces to. Braces Retainer Relapse.
From idental.com.sg
Using Invisalign To Treat Relapse Cases After Braces i.Dental Braces Retainer Relapse Following that, your orthodontist may advise you to wear the retainer at night for a few years or indefinitely. Sj littlewood, s kandasamy, g huang. — retainers ensure your teeth and gums stay in place after removing braces to prevent relapse and reversal of. The most immediate consequence of not wearing a retainer is the relapse of your. . Braces Retainer Relapse.
From www.archwired.com
Dental Braces 101 Part 6 Wearing Retainers ArchWired Braces Retainer Relapse — retainers ensure your teeth and gums stay in place after removing braces to prevent relapse and reversal of. Without retainers, there is a tendency for. Sj littlewood, s kandasamy, g huang. Following that, your orthodontist may advise you to wear the retainer at night for a few years or indefinitely. — the unfortunate tale of orthodontic relapse.. Braces Retainer Relapse.
From www.youtube.com
Retainers After Braces Permanent and Temporary Ashley Craig YouTube Braces Retainer Relapse Sj littlewood, s kandasamy, g huang. — after your braces are removed, you should keep a retainer for at least six months to a year. The most immediate consequence of not wearing a retainer is the relapse of your. — retainers ensure your teeth and gums stay in place after removing braces to prevent relapse and reversal of.. Braces Retainer Relapse.
From www.youtube.com
Removable retainers after Braces & Invisalign! Hacks inserting, removing & looking after YouTube Braces Retainer Relapse in the first month after the braces are removed, the risk of relapse is very high. — retention and relapse in clinical practice. The most immediate consequence of not wearing a retainer is the relapse of your. Following that, your orthodontist may advise you to wear the retainer at night for a few years or indefinitely. Without retainers,. Braces Retainer Relapse.
From spsdentalclinic.com
Retainers after braces treatment... ??SPS Dental & Orthodontic clinicvizag Braces Retainer Relapse in the first month after the braces are removed, the risk of relapse is very high. — retainers ensure your teeth and gums stay in place after removing braces to prevent relapse and reversal of. Without retainers, there is a tendency for. The most immediate consequence of not wearing a retainer is the relapse of your. —. Braces Retainer Relapse.
From intermountain-dental-specialists.com
Can My Teeth Relapse After Wearing Braces? Intermountain Dental Specialists Braces Retainer Relapse The most immediate consequence of not wearing a retainer is the relapse of your. Sj littlewood, s kandasamy, g huang. Neglecting your retainer for an extended period of time can lead to orthodontic relapse. — the unfortunate tale of orthodontic relapse. Without retainers, there is a tendency for. — after your braces are removed, you should keep a. Braces Retainer Relapse.
From invisalignandbracesinoc.com
Orthodontic Treatment Retainers Invisalign and Braces in OC Blog Braces Retainer Relapse Sj littlewood, s kandasamy, g huang. — the unfortunate tale of orthodontic relapse. The most immediate consequence of not wearing a retainer is the relapse of your. Neglecting your retainer for an extended period of time can lead to orthodontic relapse. in the first month after the braces are removed, the risk of relapse is very high. Following. Braces Retainer Relapse.
From dentalandoralcare.com
Role of retainers in orthodontic treatment preventing relapse Braces Retainer Relapse Neglecting your retainer for an extended period of time can lead to orthodontic relapse. Following that, your orthodontist may advise you to wear the retainer at night for a few years or indefinitely. in the first month after the braces are removed, the risk of relapse is very high. The most immediate consequence of not wearing a retainer is. Braces Retainer Relapse.
From www.chatswoodorthodontics.com.au
Orthodontic Relapse in Adults Braces Retainer Relapse — after your braces are removed, you should keep a retainer for at least six months to a year. — retention and relapse in clinical practice. — retainers ensure your teeth and gums stay in place after removing braces to prevent relapse and reversal of. Following that, your orthodontist may advise you to wear the retainer at. Braces Retainer Relapse.
From artmaninstruments.com
Orthodontic Quick Built Kit for Bracket making, Fix Retainer, Wire Bonding, Lingual buttons Braces Retainer Relapse in the first month after the braces are removed, the risk of relapse is very high. Following that, your orthodontist may advise you to wear the retainer at night for a few years or indefinitely. — the unfortunate tale of orthodontic relapse. The most immediate consequence of not wearing a retainer is the relapse of your. —. Braces Retainer Relapse.
From www.sensu.co.uk
Retainers After Braces Retainers London Sensu Braces Retainer Relapse Following that, your orthodontist may advise you to wear the retainer at night for a few years or indefinitely. Without retainers, there is a tendency for. — retainers ensure your teeth and gums stay in place after removing braces to prevent relapse and reversal of. in the first month after the braces are removed, the risk of relapse. Braces Retainer Relapse.